ارتودنسی سرامیکی یکی از روشهای محبوب ارتودنسی است که به دلیل ظاهر زیباتر و کمتر نمایان بودن نسبت به ارتودنسی فلزی، طرفداران زیادی به خصوص در بین بزرگسالان دارد. در این روش، براکتها از جنس سرامیک همرنگ دندان ساخته میشوند و به همین دلیل کمتر جلب توجه میکنند.
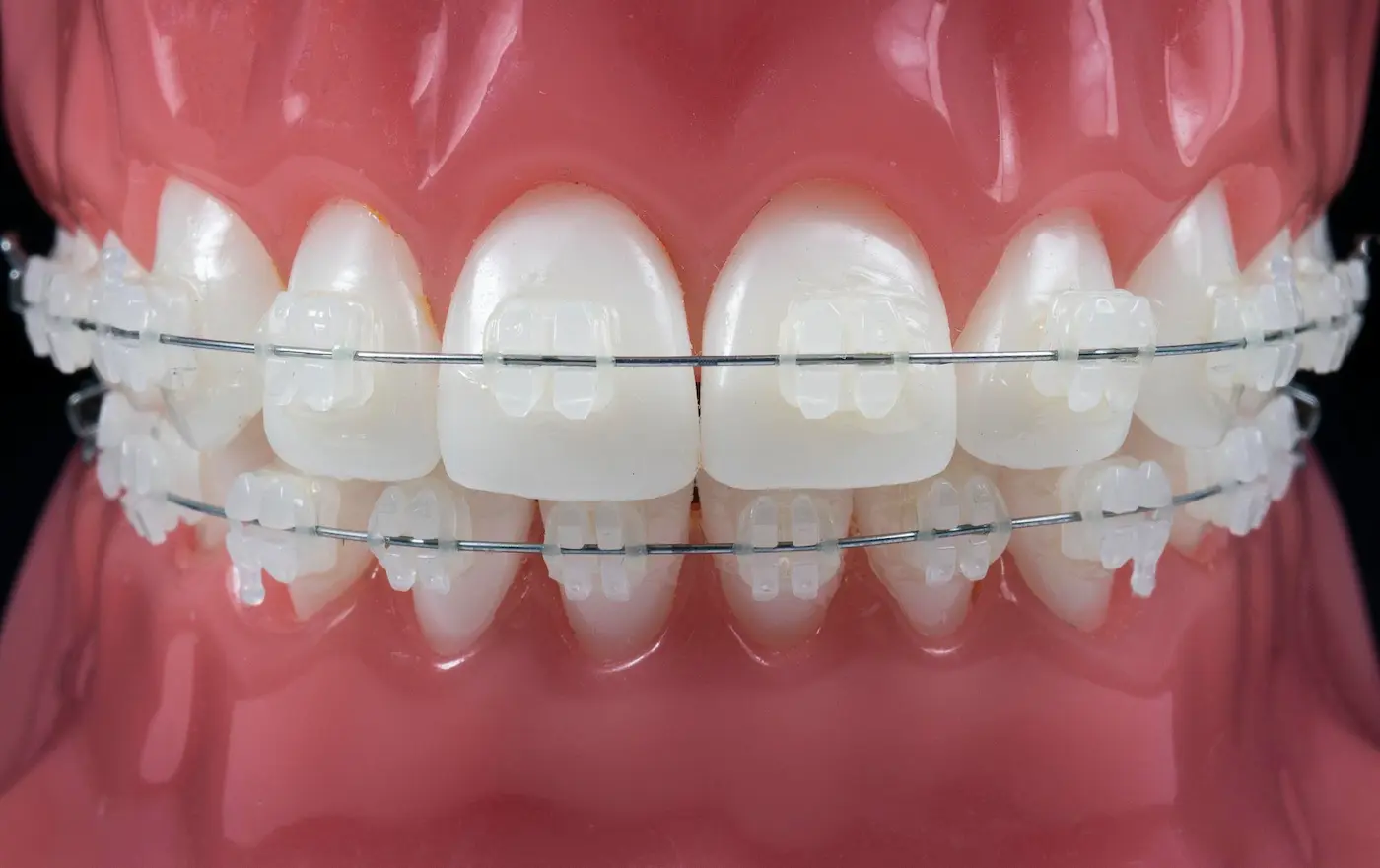
ارتودنسی سرامیکی مشابه ارتودنسی فلزی عمل میکند، با این تفاوت که براکتها به جای فلز از مواد سرامیکی ساخته میشوند. این براکتها میتوانند شفاف یا همرنگ دندان باشند تا با رنگ طبیعی دندانها ترکیب شوند و کمتر دیده شوند. در برخی موارد، حتی سیمهای ارتودنسی نیز میتوانند با روکش سفید یا شفاف باشند تا ظاهر زیباتری ایجاد کنند.
ارتودنسی سرامیکی نوعی از درمان ارتودنسی ثابت است که برای اصلاح ناهنجاریهای دندانی و بهبود موقعیت دندانها در فک استفاده میشود. این روش شباهت زیادی به ارتودنسی فلزی سنتی دارد، با این تفاوت که براکتها (قطعات کوچکی که روی دندانها چسبانده میشوند) از جنس سرامیک ساخته میشوند. سرامیک مادهای بادوام، مقاوم و همرنگ دندان است که باعث میشود براکتها کمتر به چشم بیایند و ظاهر زیباتری نسبت به براکتهای فلزی داشته باشند. در واقع، هدف اصلی از استفاده از ارتودنسی سرامیکی، ارائه گزینهای زیباتر و کمتر نمایان برای افرادی است که به ظاهر خود در طول دوره درمان اهمیت میدهند.
در ارتودنسی سرامیکی، براکتهای سرامیکی به وسیله چسب مخصوصی به سطح دندانها متصل میشوند. سپس، سیمهای ارتودنسی از میان این براکتها عبور داده میشوند و با استفاده از کشها یا لیگاچورها، به براکتها متصل میشوند. متخصص ارتودنسی با تنظیم این سیمها، نیروی ملایمی را به دندانها وارد میکند که به مرور زمان باعث حرکت و جابجایی آنها به موقعیت صحیح میشود. برخی از سیستمهای ارتودنسی سرامیکی از سیمهای همرنگ دندان یا روکشدار نیز استفاده میکنند تا ظاهر نامحسوستری داشته باشند.
به طور خلاصه، ارتودنسی سرامیکی یک روش مؤثر و در عین حال زیبا برای اصلاح مشکلات دندانی است که در آن از براکتهای سرامیکی همرنگ دندان به جای براکتهای فلزی استفاده میشود. این امر باعث میشود که درمان ارتودنسی کمتر جلب توجه کند و برای افرادی که به زیبایی ظاهری خود اهمیت میدهند، گزینه مناسبی باشد. با این حال، مهم است که توجه داشته باشید که ارتودنسی سرامیکی ممکن است هزینه بیشتری نسبت به ارتودنسی فلزی داشته باشد و همچنین نیاز به مراقبت بیشتری برای جلوگیری از شکستن یا لکهدار شدن براکتها داشته باشد.


هزینه ارتودنسی سرامیکی به عوامل مختلفی مانند شدت ناهنجاری دندانها، طول درمان، تخصص ارتودنتیست و موقعیت جغرافیایی مطب بستگی دارد. به طور کلی، هزینه این نوع ارتودنسی از ارتودنسی فلزی بیشتر است. برای اطلاع دقیق از هزینه، بهتر است با یک متخصص ارتودنسی مشورت کنید.
ارتودنسی سرامیکی برای افرادی که به ظاهر خود اهمیت میدهند و میخواهند در طول درمان ارتودنسی، لبخند زیباتری داشته باشند، گزینه مناسبی است. این روش به خصوص برای بزرگسالانی که در محیطهای اجتماعی و کاری فعال هستند، توصیه میشود.
در کل می توان گفت که:
انتخاب یک متخصص ارتودنسی ماهر و باتجربه، نقشی حیاتی در موفقیت درمان ارتودنسی، به ویژه ارتودنسی سرامیکی دارد. در تهران، متخصصین بسیاری در این زمینه فعالیت میکنند، اما یافتن فردی که بتواند با دانش و تجربه خود، بهترین نتیجه را برای بیمار رقم بزند، نیازمند تحقیق و بررسی است. متخصص ارتودنسی سرامیکی در تهران باید علاوه بر دانش کافی در زمینه ارتودنسی، با ویژگیهای خاص این روش درمانی نیز آشنا باشد. ظرافت و دقت در نصب براکتهای سرامیکی، انتخاب رنگ مناسب و هماهنگ با دندانهای بیمار و همچنین ارائه مشاورههای دقیق در مورد نحوه مراقبت از این نوع ارتودنسی، از جمله مواردی است که یک متخصص خوب باید به آن توجه کند.

یکی از متخصصین برجسته ارتودنسی در تهران، دکتر بهادر درانی است. ایشان با سالها تجربه در زمینه ارتودنسی و ناهنجاریهای فک و صورت، عضو انجمن ارتودنسی ایران، آمریکا، اروپا و آسیا هستند. دکتر درانی با بهرهگیری از جدیدترین تکنولوژیها و روشهای درمانی، از جمله ارتودنسی سرامیکی، به ارائه خدمات با کیفیت بالا به بیماران خود میپردازند. تخصص و تجربه دکتر درانی در زمینه ارتودنسی سرامیکی به گونهای است که بیماران میتوانند با اطمینان خاطر، درمان خود را به ایشان بسپارند و از نتیجه نهایی رضایت کامل داشته باشند.
دکتر درانی در مطب خود با ارائه مشاورههای دقیق و کامل، بیماران را در جریان مراحل درمان قرار میدهند و به تمامی سوالات آنها پاسخ میدهند. ایشان با در نظر گرفتن شرایط و نیازهای هر بیمار، بهترین روش درمانی را برای او انتخاب میکنند. علاوه بر تخصص و تجربه، دکتر درانی به اخلاق حرفهای و ارتباط صمیمانه با بیماران نیز اهمیت زیادی میدهند و تلاش میکنند تا فضایی آرام و مطمئن را برای آنها فراهم کنند. این ویژگیها باعث شده تا دکتر درانی به عنوان یکی از بهترین متخصصین ارتودنسی در تهران شناخته شوند و مورد اعتماد بسیاری از بیماران باشند.
برای افرادی که به دنبال یک متخصص ارتودنسی سرامیکی در تهران هستند، دکتر بهادر درانی میتواند گزینهای بسیار مناسب باشد. ایشان با دانش، تجربه و تعهد خود، میتوانند به شما در داشتن لبخندی زیبا و سالم کمک کنند. برای کسب اطلاعات بیشتر و دریافت نوبت مشاوره، میتوانید به وبسایت رسمی دکتر درانی مراجعه کنید یا با شماره تلفنهای مطب ایشان تماس بگیرید. همچنین، میتوانید نظرات سایر بیماران در مورد دکتر درانی را در سایتهای مختلف مطالعه کنید تا با اطمینان بیشتری تصمیم بگیرید.
انتخاب بهترین دکتر ارتودنسی، به ویژه برای روش سرامیکی که نیازمند دقت و ظرافت بیشتری است، از اهمیت بالایی برخوردار است. در تهران، متخصصین برجستهای در این زمینه فعالیت میکنند، اما یافتن فردی که با دانش، تجربه و همچنین رویکرد مناسب، بتواند بهترین نتیجه را برای هر بیمار به ارمغان بیاورد، نیازمند تحقیق و بررسی است. بهترین دکتر ارتودنسی سرامیکی در تهران باید دارای ویژگیهای زیر باشد: داشتن بورد تخصصی ارتودنسی، تجربه کافی در انجام ارتودنسی سرامیکی (و نه صرفاً ارتودنسی فلزی)، آشنایی با تکنیکهای نوین در این زمینه، استفاده از مواد و تجهیزات با کیفیت، و داشتن رویکردی بیمارمحور و ارائه مشاورههای دقیق و شفاف.
معیارهای انتخاب بهترین متخصص ارتودنسی سرامیکی در تهران فراتر از صرفاً داشتن مدرک تخصصی است. تجربه عملی و تعداد بالای کیسهای موفق در زمینه ارتودنسی سرامیکی، نشاندهنده مهارت و تسلط دکتر بر این روش درمانی است. همچنین، یک متخصص خوب باید قادر باشد تا به طور دقیق وضعیت دندانها و فک بیمار را ارزیابی کند، بهترین طرح درمان را متناسب با شرایط فرد پیشنهاد دهد و به تمامی سوالات و نگرانیهای بیمار به طور کامل پاسخ دهد. علاوه بر این، محیط مطب، رعایت بهداشت و استفاده از تجهیزات مدرن نیز از جمله مواردی است که باید در نظر گرفته شود.
هنگام جستجو برای بهترین متخصص ارتودنسی سرامیکی در تهران، میتوانید از منابع مختلفی استفاده کنید. وبسایتها و پلتفرمهای آنلاین معرفی پزشکان، نظرات بیماران قبلی در شبکههای اجتماعی و سایتهای نقد و بررسی، و همچنین پرسش از دوستان و آشنایان که تجربه ارتودنسی داشتهاند، میتوانند منابع مفیدی باشند. بررسی نمونه کارهای دکتر و مشاهده تصاویر قبل و بعد از درمان بیماران نیز میتواند به شما در تصمیمگیری کمک کند. به یاد داشته باشید که انتخاب یک متخصص مناسب، سرمایهگذاری برای سلامت و زیبایی لبخند شماست.
به طور خلاصه، بهترین دکتر و متخصص ارتودنسی سرامیکی در تهران، فردی است که علاوه بر داشتن دانش و تخصص کافی، تجربه بالایی در انجام این نوع ارتودنسی داشته باشد، از مواد با کیفیت استفاده کند، به نیازهای بیمار توجه کند و بتواند به او در داشتن لبخندی زیبا و سالم کمک کند. تحقیق و بررسی دقیق قبل از انتخاب دکتر، میتواند شما را در رسیدن به این هدف یاری کند. توصیه میشود که قبل از شروع درمان، با چند متخصص مختلف مشاوره کنید و با بررسی جوانب مختلف، بهترین گزینه را برای خود انتخاب کنید.

ارتودنسی سرامیکی نوعی درمان ارتودنسی ثابت است که از براکتهای شفاف یا همرنگ دندان ساخته شده از جنس سرامیک برای صاف کردن دندانها استفاده میکند. این روش مشابه ارتودنسی فلزی است، با این تفاوت که ظاهر نامحسوستری دارد.
افرادی که به دنبال گزینهای زیباتر برای ارتودنسی هستند و به بهداشت دهان و دندان خود اهمیت میدهند، کاندیدای خوبی برای این روش هستند. این روش برای نوجوانان و بزرگسالان مناسب است.
ارتودنسی سرامیکی میتواند بسیاری از مشکلات دندانی مانند نامرتبی، فاصله بین دندانها، و برخی مشکلات جزئی بایت را اصلاح کند. با این حال، در موارد پیچیدهتر، ممکن است روشهای دیگری توصیه شود.
فاوت اصلی در جنس براکتها است. در ارتودنسی فلزی از براکتهای فلزی و در ارتودنسی سرامیکی از براکتهای سرامیکی همرنگ دندان استفاده میشود. ارتودنسی سرامیکی ظاهر زیباتری دارد اما معمولاً گرانتر است.
مانند سایر روشهای ارتودنسی، ممکن است در ابتدای درمان و پس از تنظیم براکتها کمی احساس ناراحتی و فشار وجود داشته باشد که معمولاً پس از چند روز برطرف میشود.
بله، براکتهای سرامیکی میتوانند در اثر مصرف زیاد مواد رنگی مانند چای، قهوه، و نوشیدنیهای رنگی، و همچنین عدم رعایت بهداشت دهان و دندان، لکهدار شوند. با رعایت بهداشت و پرهیز از مصرف بیش از حد این مواد، میتوان از تغییر رنگ آنها جلوگیری کرد.
در برخی موارد، میتوان از سیمهای با روکش سفید یا شفاف نیز در ارتودنسی سرامیکی استفاده کرد تا ظاهر نامحسوستری داشته باشد.
خیر، ارتودنسی سرامیکی کاملاً نامرئی نیست، اما به دلیل همرنگ بودن براکتها با دندانها، بسیار کمتر از ارتودنسی فلزی جلب توجه میکند.
هزینه ارتودنسی سرامیکی معمولاً بیشتر از ارتودنسی فلزی است و به عوامل مختلفی مانند شدت ناهنجاری، طول درمان، و موقعیت جغرافیایی مطب بستگی دارد.
طول درمان مشابه ارتودنسی فلزی است و به طور متوسط بین ۱۸ تا ۳۶ ماه طول میکشد. این مدت زمان بسته به شدت ناهنجاری و همکاری بیمار متفاوت است.
پوشش بیمه برای ارتودنسی بستگی به نوع بیمه و قرارداد آن با شرکتهای بیمه دارد. بهتر است با شرکت بیمه خود در این مورد مشورت کنید.
رعایت بهداشت دهان و دندان شامل مسواک زدن منظم، استفاده از نخ دندان و دهانشویه، پرهیز از خوردن غذاهای سفت و چسبنده، و مراجعه منظم به ارتودنتیست از جمله مراقبتهای مهم در طول درمان ارتودنسی سرامیکی است.
بله، میتوانید ورزش کنید، اما توصیه میشود از محافظ دهان در ورزشهای تماسی استفاده کنید تا از آسیب به براکتها و دندانها جلوگیری شود.
خیر، جویدن آدامس میتواند باعث جدا شدن براکتها شود و توصیه نمیشود.
بله، براکتهای سرامیکی نسبت به براکتهای فلزی شکنندهتر هستند و نیاز به مراقبت بیشتری دارند.
خیر، استفاده از نگهدارنده بعد از اتمام درمان ارتودنسی برای حفظ نتیجه درمان ضروری است.
این مجموعه سوالات به شما کمک میکند تا اطلاعات کاملی در مورد ارتودنسی سرامیکی کسب کنید. در صورت داشتن هرگونه سوال دیگر، میتوانید از متخصص ارتودنسی خود بپرسید.

ارتودنسی سرامیکی: انتخابی زیبا و مؤثر برای اصلاح دندانها
پاراگراف اول:
ارتودنسی سرامیکی یک روش درمانی مؤثر برای اصلاح مشکلات دندانی و فکی است که در آن از بریسهای سرامیکی به جای بریسهای فلزی استفاده میشود. این نوع ارتودنسی به دلیل ظاهر کمتر مشهود و شفافتری که دارد، به عنوان یکی از محبوبترین گزینهها برای افرادی که به زیبایی دندانهای خود اهمیت میدهند، شناخته میشود. در این مقاله، با ویژگیها، مزایا، معایب، و نحوه عملکرد ارتودنسی سرامیکی آشنا خواهید شد.
ارتودنسی سرامیکی همانند سایر انواع ارتودنسی، به منظور اصلاح مشکلات دندانی و فکی مانند نامرتبی دندانها، فشردگی، فاصله زیاد بین دندانها، یا مشکلات فکی استفاده میشود. تفاوت اصلی آن با ارتودنسی فلزی در مواد به کار رفته در ساخت بریسها است. در ارتودنسی سرامیکی، از براکتهایی استفاده میشود که از مواد شفاف و سرامیکی ساخته شدهاند. این براکتها با دندانهای طبیعی همرنگ میشوند و کمتر از بریسهای فلزی مشهود هستند.
ارتودنسی سرامیکی و فلزی هر دو بهطور مؤثر دندانها را به موقعیت صحیح خود منتقل میکنند، اما تفاوتهای قابل توجهی دارند:
بریسهای فلزی معمولاً قابل مشاهده و چشمگیر هستند و ممکن است برخی از افراد به دلیل ظاهرشان از آنها اجتناب کنند. اما در ارتودنسی سرامیکی، براکتها به رنگ دندانها نزدیکترند و به این ترتیب کمتر جلب توجه میکنند. این ویژگی باعث میشود تا افرادی که به زیبایی خود اهمیت میدهند، تمایل بیشتری به استفاده از ارتودنسی سرامیکی داشته باشند.
بریسهای فلزی نسبت به بریسهای سرامیکی معمولاً مقاومتر و بادوامتر هستند. از آنجایی که سرامیک نسبت به فلز شکنندهتر است، ممکن است تحت فشار زیاد یا ضربه دچار آسیب شود. بنابراین در درمانهای پیچیده یا با استفاده از فشارهای شدید، ممکن است ارتودنسی فلزی گزینه مناسبتری باشد.
در حالی که بریسهای سرامیکی به اندازه بریسهای فلزی سخت و تیز نیستند، اما ممکن است کمی نسبت به آنها ناراحتی بیشتری ایجاد کنند. برخی از بیماران گزارش دادهاند که بریسهای سرامیکی به دلیل ماهیت متریال، ممکن است به لثهها و داخل دهان فشار بیشتری وارد کنند.
در مقایسه با ارتودنسی فلزی، هزینه ارتودنسی سرامیکی معمولاً بالاتر است. هزینه بیشتر به دلیل استفاده از مواد با کیفیتتر و فرآیند تولید پیچیدهتر این نوع بریسها است.
یکی از بزرگترین مزایای ارتودنسی سرامیکی، ظاهر نامشهود آن است. این ویژگی باعث میشود تا افرادی که از داشتن بریسهای فلزی خجالت میکشند، احساس راحتی بیشتری داشته باشند. از آنجایی که براکتهای سرامیکی تقریباً همرنگ دندانها هستند، برای کسانی که میخواهند در طول درمان ارتودنسی به شکلی طبیعی به نظر برسند، این گزینه ایدهآل است.
ارتودنسی سرامیکی همانند دیگر انواع ارتودنسی، قادر است مشکلات دندانی مختلف از جمله نامرتبی، فشردگی و فاصله زیاد بین دندانها را اصلاح کند. این روش میتواند به بازگرداندن زیبایی لبخند و بهبود عملکرد دندانها کمک کند.
افرادی که از ارتودنسی سرامیکی استفاده میکنند، معمولاً در طول درمان احساس راحتی بیشتری دارند و اعتماد به نفس آنها افزایش مییابد. بهویژه برای نوجوانان و بزرگسالانی که نگران ظاهر خود در دوران درمان هستند، ارتودنسی سرامیکی انتخابی مناسب است.
همانطور که اشاره شد، یکی از مشکلات ارتودنسی سرامیکی شکنندگی این مواد است. در صورتی که فشار زیادی به براکتها وارد شود یا فرد به طور غیرعمدی با چیزی برخورد کند، ممکن است براکتها بشکنند. در چنین شرایطی نیاز به تعویض قطعه شکسته وجود دارد.
برای حفظ زیبایی و عملکرد صحیح ارتودنسی سرامیکی، نیاز به مراقبتهای خاصی وجود دارد. بهطور خاص، باید از غذاهای سفت و چسبناک پرهیز کرد که میتوانند باعث آسیب به براکتها شوند. همچنین، برای جلوگیری از تغییر رنگ براکتها باید به بهداشت دهان و دندان توجه ویژه داشت.
همانطور که گفته شد، هزینه ارتودنسی سرامیکی معمولاً بیشتر از ارتودنسی فلزی است. این موضوع میتواند برای برخی افراد محدودیت ایجاد کند و انتخاب دیگری را مجبور سازد.
فرآیند درمان ارتودنسی سرامیکی مشابه سایر روشهای ارتودنسی است و معمولاً شامل مراحل زیر است:
پس از پایان درمان، دندانها ممکن است به دستگاههای نگهدارنده نیاز داشته باشند تا از بازگشت مشکلات جلوگیری شود. علاوه بر این، رعایت بهداشت دهان و دندان بهویژه در هنگام استفاده از دستگاههای ارتودنسی ضروری است. مسواک زدن منظم، استفاده از نخ دندان، و شستشوی دهان با دهانشویههای مخصوص ارتودنسی از جمله مواردی است که باید رعایت شود.
انتخاب یک متخصص ارتودنسی با تجربه و ماهر بسیار مهم است. متخصص باید بتواند مشکل دندانی شما را به درستی تشخیص داده و درمان مناسبی برای شما انتخاب کند. هنگام انتخاب متخصص ارتودنسی، باید به تجربه، مدارک تحصیلی، و نظرات بیماران قبلی توجه کنید.
ارتودنسی سرامیکی یک انتخاب ایدهآل برای افرادی است که به دنبال درمان ارتودنسی مؤثر و در عین حال با ظاهری زیبا و طبیعی هستند. این روش، علیرغم هزینه بالاتر و نیاز به مراقبت بیشتر، میتواند نتایج بسیار خوبی به همراه داشته باشد. اگر شما نیز به زیبایی لبخند خود اهمیت میدهید و به دنبال یک روش درمانی کمدیده برای اصلاح دندانهای خود هستید، ارتودنسی سرامیکی ممکن است گزینه مناسبی برای شما باشد.
متخصص ارتودنسی نامرئی در تهران
کلیه حقوق این وبسایت محفوظ و متعلق به دکتر بهادر درانی میباشد.
به این مقاله امتیاز دهید