همانطور که قبلا در بالا توضیح داده شد امروزه ارتودنسی بدون محدویت سنى مى باشد که البته اگر مشکلات فقط به نامرتبى دندانها باشد و پروفایل و ظاهر اسکلتالى بیمار تحت شعاع قرار نگرفته باشد بدون جراحى این کار امکان پذیر مى باشد توسط متخصص ارتودنسی ولى اگر ناهنجارى فکى و اسکلتال بیمار تحت شعاع قرار بگیرد و بیمار بعد از جهش رشدى مراجعه کند مسلما متخصص ارتودنسی باید از روشهاى ارتوسرجرى (ارتودنسی همراه جراحى فک) استفاده کند .
ارتودسرجری یعنی ارتودنسی همراه با جراحی فک. بیمارانی که همزمان دارای ناهنجاریهای دندانی و فکی هستند، به ارتوسرجری نیاز پیدا میکنند. در این بخش به معرفی این درمان خاص میپردازیم و ابعاد و زوایای مختلف آنرا به شما توضیح خواهیم داد.
شاید برای شما هم این سؤال پیش آمده باشد که جراحی فک و ارتودنسی چه ارتباطی با یکدیگر دارند؟ برخی افراد هم دارای دندانهای نامرتب هستند و هم دچار مشکلات فک میباشند. برخی مشکلات فکی با توجه به شدت و حالتی که دارند، تنها در صورتی قابل حل هستند که با انجام ارتودنسی همراه باشند. برخی از این مشکلات، همراه با ارتودنسی به جراحی ارتوگناتیک نیز نیاز پیدا می کنند.
اینگونه بیماران باید با مراجعه متخصص جراحی فک و متخصص ارتودنسی، از آنها مشاوره دریافت کنند و درمان مورد نظر را آغاز کنند. درمان به این صورت است که بنا به تشخیص پزشکان، یا ابتدا جراحی فک انجام میشود و سپس ارتودنسی و یا در ابتدا ارتودنسی انجام میشود و سپس جراحی فک صورت میگیرد.
اول از همه این نکته را در نظر بگیرید که اگر قصد انجام ارتودنسی دارید و ممکن است به جراحی فک نیاز پیدا کنید، تنها دندانپزشک یا متخصص ارتودنسی شما است که میتواند بهترین روش انجام کار را به شما پیشنهاد بدهد. برای دریافت وقت مشاوره رایگان ازدکتر درانی میتوانید از راههای ارتباطی زیر استفاده کنید:
جراحی فک زمانی مورد نیاز است که ارتودنسی به تنهایی قادر به رفع اختلالات فکی نباشد. مواردی که باعث میشوند به جراحی فک نیاز پیدا کنید شامل موارد زیر میشوند.

در اکثر موارد، ارتودنسی ابتدا انجام میشود. این به این دلیل است که ارتودنسی میتواند دندانها را به موقعیت مناسب خود برساند تا جراحی فک با دقت بیشتر و عوارض کمتری انجام شود. علاوه بر این، ارتودنسی میتواند به بهبود سلامت لثهها و دندانها قبل از جراحی کمک کند.
در برخی موارد، ممکن است لازم باشد جراحی فک در ابتدا انجام شود. این به این دلیل است که جراحی فک میتواند مشکلاتی را ایجاد کند که ارتودنسی نمیتواند آنها را اصلاح کند. به عنوان مثال، جراحی فک میتواند باعث ایجاد فضا بین دندانها شود که باید با ارتودنسی اصلاح شود.
عوامل مختلفی تعیین میکنند که کدام روش ابتدا انجام شود. این عوامل عبارتند از:

جراحی فک یک روش جراحی پیچیده است که میتواند برای اصلاح مشکلات دندانی و فکی استفاده شود. این جراحی میتواند مشکلاتی مانند نامرتبی دندانها، اپن بایت، کراس بایت و اوربایت را اصلاح کند.
مانند هر روش جراحی دیگری، جراحی فک نیز با خطراتی همراه است. برخی از مشکلاتی که ممکن است در طول جراحی فک پیش بیاید عبارتند از:

برخی از عوامل میتوانند خطر بروز مشکلات در طول جراحی فک را افزایش دهند. این عوامل عبارتند از:
پیشگیری و مراقبت های قبل از جراحی فک
با رعایت نکات زیر میتوان خطر بروز مشکلات در طول جراحی فک را کاهش داد:
اقدامات دارویی پیش از جراحی فک به منظور کاهش خطر خونریزی، عفونت و سایر عوارض جراحی انجام میشود. این اقدامات عبارتند از:

اقدامات دارویی پیش از جراحی فک میتوانند عوارض جانبی خفیفی مانند حالت تهوع، استفراغ و اسهال ایجاد کنند. در موارد نادر، این اقدامات میتوانند عوارض جانبی جدیتری مانند واکنشهای آلرژیک یا خونریزی ایجاد کنند.
بیمار باید دستورالعملهای پزشک را در مورد مصرف داروهای پیش از جراحی فک به دقت دنبال کند. بیمار همچنین باید در صورت بروز هرگونه عارضه جانبی، فوراً به پزشک مراجعه کند.


در اینجا نکات اضافی برای اقدامات بهداشتی پیش از جراحی فک آورده شده است:
رعایت اقدامات بهداشتی پیش از جراحی فک میتواند به کاهش خطر عفونت و سایر عوارض جراحی کمک کند.

پیش از جراحی باید یک نفر همراه داشته باشید تا کارهای شخصی و مراقبت از شما را انجام دهد.
بیمار پیش از عمل جراحی و حدوداً هشت الی ده ساعت قبل از آن باید ناشتا باشد. اصطلاحا به حالت ناشتا NPO میگویند. مهمترین دلیل برای ناشتا بودن قبل از جراحی فک این است که بعد از به هوش آمدن فرد حالت تهوع نداشته باشد.

اصلی ترین بخش که به عهده جراح است، مراقبت های حین عمل است. پس باید حتما بیمارستان و جراحی را انتخاب کنید که به مهارت و تخصص آنها اطمینان دارید.

مراقبت های بعد از جراحی فک معمولاً عوارض جانبی خاصی ایجاد نمیکنند. با این حال، در موارد نادر، این مراقبت ها میتوانند باعث بروز عوارض جانبی خفیفی مانند حالت تهوع، استفراغ و اسهال شوند.
بیمار باید دستورالعملهای پزشک را در مورد مراقبت های بعد از جراحی فک به دقت دنبال کند. بیمار همچنین باید در صورت بروز هرگونه عارضه جانبی، فوراً به پزشک مراجعه کند.
رعایت مراقبت های بعد از جراحی فک میتواند به بهبودی سریعتر بیمار و جلوگیری از بروز عوارض کمک کند.

مدت زمان بهبودی بعد از جراحی فک به نوع جراحی و شدت آن بستگی دارد. معمولاً بهبودی کامل بعد از جراحی فک حدود شش هفته طول میکشد.

هرچقدر بیشتر به بهداشت دهان و دندان توجه کنید، زخمهایتان سریعتر بهبود مییابند.
طبق تجربه بیماران مختلف باید بدانید که شما از شب اول پس از جراحی ، بدون هیچ مشکلی میتوانید به آرامی صحبت کنید. البته باید مراقب باشید که فک خود را به آرامی حرکت دهید.
همانطور که قبلاً بیان کردهایم، ارتودنسی به تنهایی دارای دوره درمان طولانی مدت است، از دستگاههای متفاوتی برای آن استفاده میشود و ماندگاری بالایی دارد؛ درنتیجه به دلیل اقدامات مختلف و نتایج رضایتبخشی که به سختی به دست میآیند، هزینههای ارتودنسی نسبتاً بالا است.
اگر همراه با ارتودنسی به جراحی فک نیاز داشتید، هزینه های شما بالاتر نیز میروند. قیمت و هزینه جراحی فک با توجه به شدت ناهنجاری، بیمارستان یا کلینیکی که جراحی در آن انجام میشود و خدمات آن، و حتی جراحی که کار را انجام میدهد متفاوت خواهد بود.
ممکن است تا چندین ماه یعنی 2 تا 6 ماه پس از جراحی، اثر بی حسی را بر روی زبان، لبها و بخش های دیگر صورتتان احساس کنید. اگر نمیتوانید با این بیحسی کنار بیایید، میتوانید از لیزردرمانی استفاده کنید تا اثر بیحسی سریعتر از بین برود.
برای از بین بردن اثر بیحسی، از لیزر کمتوان دیود استفاده میکنند. طول موج اشعه آن، 660 نانومتر است و در داخل دهان تابانده میشود. لیزر در دو هفته میتواند التهابات پس از جراحی را بطور چشمگیری کاهش دهد. اقدام به لیزر را میتوانید2 الی سه هفته پس از جراحی آغاز کنید.
"ارتودنسی همراه با جراحی فک (ارتوسرجی) توسط دکتر بهادر درانی: درمانی کامل برای اصلاح فک و دندانها - ۲۳بهمن ۱۴۰۳"
اگر به دنبال درمان مشکلات فک و دندانهای خود هستید، ارتودنسی همراه با جراحی فک (ارتوسرجی) یک روش موثر و کارآمد است که میتواند زندگی شما را متحول کند. این درمان ترکیبی از ارتودنسی و جراحی فک است که برای اصلاح مشکلات جدی فک و دندانها در افراد بالغ استفاده میشود. در این مقاله، شما را با این روش درمانی آشنا میکنیم و توضیح میدهیم که چرا دکتر بهادر درانی به عنوان بهترین متخصص ارتودنسی در تهران، گزینهای مناسب برای انجام این درمان است.
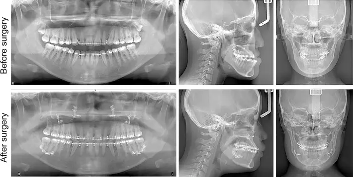
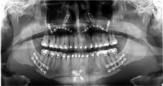
ارتوسرجی یا ارتودنسی همراه با جراحی فک یک روش درمانی است که برای اصلاح مشکلات فکی و دندانی جدی مورد استفاده قرار میگیرد. در این روش، ابتدا ارتودنسی برای تنظیم دندانها و آمادهسازی آنها انجام میشود، سپس جراحی فک برای اصلاح ساختار فک و بهبود عملکرد آن صورت میگیرد. این درمان میتواند مشکلاتی مانند فک جلو، فک عقب، عدم تقارن صورت، بروکسیسم و مشکلات تنفسی را اصلاح کند.
افرادی که مشکلات جدی فکی دارند و ارتودنسی به تنهایی نمیتواند آنها را اصلاح کند، به این نوع درمان نیاز دارند. برخی از دلایل اصلی برای انجام ارتودنسی همراه با جراحی فک عبارتند از:
فرآیند درمان ارتودنسی همراه با جراحی فک معمولاً شامل مراحل زیر است:
دکتر بهادر درانی با سالها تجربه در زمینه ارتودنسی و ناهنجاریهای فک و صورت، یکی از بهترین متخصصین این حوزه است. ایشان با استفاده از آخرین تکنولوژیها و روشهای درمانی، به بیماران خود کمک میکند تا به بهترین نتیجه برسند. در درمانهای پیچیده مانند ارتوسرجی، تخصص و تجربه پزشک بسیار مهم است و دکتر بهادر درانی به عنوان یک متخصص برجسته، توانایی انجام جراحیهای فک به همراه ارتودنسی را با بالاترین کیفیت دارد.
این درمان ترکیبی میتواند مزایای زیادی به همراه داشته باشد:
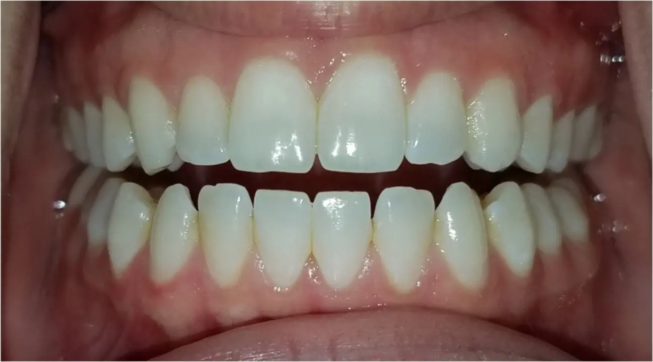
در نهایت، ارتودنسی همراه با جراحی فک یک درمان موثر برای افرادی است که مشکلات فکی و دندانی جدی دارند. با استفاده از این روش، نه تنها میتوانید بهبودی در عملکرد فک و دندانها داشته باشید، بلکه ظاهر صورت شما نیز بهبود مییابد. اگر به دنبال بهترین متخصص ارتودنسی هستید، دکتر بهادر درانی با تخصص خود میتواند بهترین گزینه برای شما باشد.
دکتر درّانی با سابقه چندین ساله در زمینه ارتودنسی به روشهای مختلف و ویزیت بیش از 12 هزار بیمار در طول سالیان متمادی، دارای عضویت در اکثر انجمنهای ارتودنسی دنیا است که یکی از بهترین گزینهها برای دریافت مشاوره و انجام درمان برای ارتودنسی همراه با جراحی فک میباشد.
البته از آنجایی که دکتر درّانی متخصص ارتودنسی است و جراحی فک انجام نمیدهد، بهترین متخصصان جراحی فک را به شما معرفی میکند و با تعریف روش و فرایند درمان و مشاوره برای تعیین نوع جراحی فک، شما را به متخصص مربوطه ارجاع میدهد تا جراحی شما را به بهترین نحو ممکن انجام دهد و قبل و بعد از آن اقدامات مربوط به ارتودنسی را دکتر درانی انجام خواهد داد.

راههای ارتباطی با کلینیک دکتر درّانی به صورت زیر می باشد:
برخی از ناهنجاریهای فکی و دندانی تنها با ارتودنسی قابل اصلاح نیستند و نیاز به ترکیب آن با جراحی فک دارند. این روش که به ارتوسرجری معروف است، برای بیمارانی که مشکلات شدیدی در موقعیت فکها دارند، توصیه میشود. ارتودنسی قبل از جراحی، دندانها را در موقعیت مناسب قرار میدهد و پس از جراحی، تنظیمات نهایی انجام میشود تا فک و دندانها هماهنگ شوند.
🔹 افرادی که فک بالایی یا پایینیشان بیش از حد جلو یا عقب است
🔹 کسانی که دچار ناهنجاریهای شدید بایت مانند اپن بایت، کراس بایت یا آندربایت هستند
🔹 بیمارانی که مشکلات شدید تنفسی، بهویژه هنگام خواب (آپنه خواب) دارند
🔹 افرادی که به دلیل مشکلات فکی دچار اختلال در جویدن یا صحبت کردن هستند
۱. معاینه و تشخیص: متخصص ارتودنسی مشکلات فکی بیمار را ارزیابی کرده و برنامه درمانی مناسب را تعیین میکند.
۲. ارتودنسی پیش از جراحی: دندانها با براکتهای ثابت مرتب میشوند تا برای جراحی آماده شوند.
3. جراحی فک: جراح فک و صورت موقعیت استخوان فک را اصلاح میکند تا هماهنگی بهتری ایجاد شود.
4. ارتودنسی بعد از جراحی: برای تکمیل درمان و تثبیت نتایج، تنظیمات نهایی دندانها انجام میشود.
✔ بهبود عملکرد جویدن و تکلم
✔ اصلاح ناهنجاریهای شدید فکی
✔ بهبود زیبایی چهره و افزایش اعتمادبهنفس
✔ رفع مشکلات تنفسی مانند آپنه خواب
هزینه این روش به عواملی مانند پیچیدگی ناهنجاری، نوع جراحی، مدت زمان ارتودنسی و مهارت متخصص ارتودنسی بستگی دارد. در تهران، این هزینهها متغیر است و بهتر است برای برآورد دقیق، با متخصصان مجرب مشورت کنید.
ارتودنسی نامرئی با دکتر درّانی
کلیه حقوق این وبسایت محفوظ و متعلق به دکتر بهادر درانی میباشد.